
Stratasys en Siemens Healthineers willen grenzen medische beeldvorming verleggen
Project rond 3D printen van fantomen voor kallibratie CT scans
Stratasys en Siemens Healthineers willen met een combinatie van slimme algoritmen en 3D printen de grenzen van medische beeldvorming met CT scans verleggen. Het gaat specifiek om het gebruik van CT fantomen. Deze gaat men ultra realistisch 3D printen.
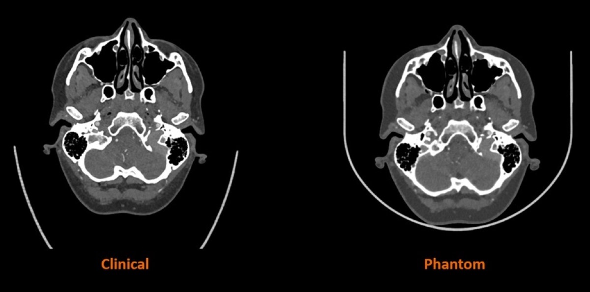
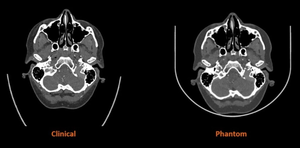
CT-fantomen zijn een cruciaal hulpmiddel in medische beeldvorming en een bijna universeel hulpmiddel in ziekenhuizen over de hele wereld. Deze fantomen zijn ontworpen om bepaalde kenmerken van het menselijk lichaam te simuleren. Hiermee kan men de kerngegevens van een CT scan meten, zoals de stralingsdosis en beeldkwaliteit. Dit gebeurt om de kalibratie van een CT scanner te ondersteunen.

Beperkingen
“De huidige beperkingen van beeldvormingsfantomen zijn al lang een uitdaging voor de radiologiegemeenschap”, zegt Erez Ben Zvi, Vice President Medical bij Stratasys. “Deze samenwerking met Siemens Healthineers stelt ons in staat om gezamenlijk de enorme mogelijkheden van onze radiopake materialen (materialen die geen röntgenstralen doorlaten, red.) en 3D-printtechnologieën te verkennen om deze barrières te overwinnen.” In het project wordt PolyJet technologie gebruikt in combinatie met de unieke RadioMatrix technologie.
Einddoel hartmodel en menselijke romp printen
Het geavanceerde algoritme van Siemens Healthineers vertaalt de gescande patiëntbeelden naar specifieke materiaaleigenschappen met radiopaciteit van de menselijke anatomie. Zo 3D print men op maat gemaakte fantomen met ultra realistische menselijke anatomiekenmerken iets wat tot nog toe niet mogelijk is. Beginnend met de productie van 3D-geprinte fantomen voor kleinschaligere anatomieën van het hoofd-halsgebied, zal het onderzoek de productie van steeds grotere en complexere anatomieën omvatten. Het eindpunt wordt het 3D-printen van een hartmodel en van een volledige menselijke romp met volledige radiografische nauwkeurigheid.
Betekenis van het project
“De kennis die met dit project wordt opgedaan, zorgt voor een doorbraak in medische beeldvorming. Dit opent nieuwe wegen “, zegt Lampros Theodorakis, Head of Computed Tomography Product & Clinical Marketing bij Siemens Healthineers. Hij verwacht dat hierdoor het gebruik van fantomen zal veranderen. In sommige gevallen zullen fabrikanten van medische beeldvormingsapparatuur in de toekomst met 3D geprinte structuren gaan werken. Dit project zal ook een kritische hoeveelheid onderzoeksgegevens opleveren, die belangrijke inzichten opleveren voor het bevorderen van CT-systeemalgoritmen, het stimuleren van materiaalontwikkeling en het ontsluiten van potentiële nieuwe toepassingsgebieden – evenals het identificeren van toekomstige onderzoeksmogelijkheden.
Wil je meer weten over de Polyjet printtechnologie van Stratasys? Kijk dan bij Seido-Systems




